विदेशी वस्तु(Foreign Body) के अंतर्ग्रहण का एंडोस्कोपिक प्रबंधन: आपको क्या जानना चाहिए
- DR Dinesh Vats
- 7 अग॰ 2025
- 4 मिनट पठन
दुनिया भर में किसी बाहरी वस्तु का अंतर्ग्रहण एक आम चिकित्सा आपात स्थिति है। यह बाल रोगियों में ज़्यादा प्रचलित है, और 4 से 14 वर्ष की आयु के बच्चों में लगभग 80% मामले इसके होते हैं। हालाँकि, लगभग 20% मामले वयस्कों में भी देखे जाते हैं, जो अक्सर आकस्मिक अंतर्ग्रहण के कारण होते हैं।
जानबूझकर निगलना सबसे ज़्यादा मनोरोग रोगियों में देखा जाता है, जैसे कि बॉर्डरलाइन पर्सनालिटी डिसऑर्डर वाले रोगियों में। पिका विकार(Pica Disease) वाले रोगी गैर-खाद्य पदार्थ या कुंद वस्तुएँ(Blunt objects) निगल सकते हैं। वृद्ध व्यक्तियों में, विदेशी वस्तु का प्रभाव अक्सर रोगात्मक(Pathological) होता है, जो घातक ट्यूमर(Malignancy0 , सिकुड़न(Stricture) या गतिशीलता विकारों(Motility Disorders) के कारण होता है।
जबकि अधिकांश विदेशी वस्तु स्वतः ही निकल जाते हैं, लगभग 10% से 20% को आपातकालीन एंडोस्कोपिक निष्कासन की आवश्यकता होती है।
विदेशी निकाय का वर्गीकरण
वर्ग | उप-श्रेणी | उदाहरण / नोट्स |
रेडियोग्राफिक विशेषताएँ(Radiographic Characterstics) | रेडियोपेक (Radiopaque) | एक्स-रे पर सफेद या चमकदार दिखाई देना (ब्लॉक एक्स-रे) |
रेडियोलुसेंट (Radiolucent) | एक्स-रे पर काला या अदृश्य दिखाई देना (एक्स-रे को गुजरने देना) | |
कुंद वस्तुएं(Blunt Objects) |
| बटन, सिक्का, खिलौना, बैटरी |
नुकीली वस्तुएं(Sharp Objects) | नुकीली वस्तुएं | कील, टूथपिक, सुई, सेफ्टी पिन, मछली की हड्डी |
तीखी अनियमित वस्तुएं | आंशिक डेन्चर, रेजर ब्लेड | |
लंबी वस्तुएँ(Long Objects) | नरम वस्तुएँ | डोरी, डोरी |
कठोर वस्तुएँ | टूथब्रश, बॉल पेन, स्क्रूड्राइवर, चम्मच, कांटा | |
खाद्य बोलस प्रभाव (Food Bolus Impaction) | गैर रोगात्मक | हड्डी (सबसे अधिक मछली की हड्डी) |
रोग | दुर्दमता, संकीर्णन, गतिशीलता विकार, इओसिनोफिलिक ग्रासनलीशोथ | |
मादक बॉडी पैक(Narcotic Body Packs) |
| मादक द्रव्यों के सेवन करने वालों या नशीली दवाओं के वाहकों द्वारा जानबूझकर निगला गया |
बेज़ोअर्स | फाइटोबेज़ोअर | पादप रेशे(Plant Fibre) |
ट्राइकोबेज़ोअर | बाल (आमतौर पर मनोरोग रोगियों में) | |
फार्माकोबेज़ोअर | अघुलित दवाएं | |
लैक्टोबेज़ोअर | अघुलनशील दूध प्रोटीन |
लक्षण
बच्चों में, इतिहास (Medical History) हमेशा उपलब्ध नहीं हो सकता। चेतावनी के संकेतों में शामिल हैं:
अचानक खाने से इनकार करना
लार टपकना
श्वसन संबंधी लक्षण जैसे खांसी या घरघराहट (संभावित आकांक्षा का संकेत)
वयस्कों में, विशिष्ट लक्षण निम्नलिखित हैं:
भोजन करते समय अचानक निगलने में कठिनाई
निगलने
छाती में दर्द
स्राव को संभालने में असमर्थता
निदान मुख्य रूप से नैदानिक इतिहास और शारीरिक परीक्षण पर आधारित होता है। रेडियोपेक विदेशी निकायों का पता लगाने और निम्नलिखित जटिलताओं का आकलन करने के लिए एक साधारण एक्स-रे प्रारंभिक इमेजिंग पद्धति है:
न्यूमोपेरिटोनियम (डायाफ्राम के नीचे हवा)
न्यूमोमेडियास्टिनम
फुफ्फुस बहाव
· प्रबंध
· एंडोस्कोपी विदेशी निकायों को हटाने के लिए स्वर्ण मानक है। हालांकि, छिद्र या रुकावट जैसी जटिलताओं के मामले में, सर्जिकल हस्तक्षेप आवश्यक हो सकता है।
विदेशी वस्तु के अंतर्ग्रहण में क्या करें और क्या न करें
✅ क्या करें: तेज या कुंद वस्तुओं के निगलने पर तुरंत चिकित्सा सहायता लें ।
वायुमार्ग में समस्या या श्वसन संबंधी परेशानी की जांच करें ।
❌ क्या न करें:
केला, दूध या कोई भी खाद्य पदार्थ मुंह द्वारा न दें - इससे एस्पिरेशन का खतरा बढ़ जाता है और एंडोस्कोपिक दृश्यता में बाधा उत्पन्न होती है।
पेट पर जोर लगाने (हेमलिच पैंतरेबाज़ी) का प्रयोग न करें - विशेष रूप से नुकीली वस्तुओं के साथ, क्योंकि इससे छिद्र हो सकता है।
उल्टी को प्रेरित न करें - उल्टी के दौरान नुकीली वस्तुएं जठरांत्र मार्ग को नुकसान पहुंचा सकती हैं।
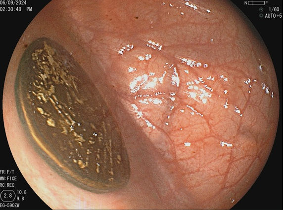
केस प्रस्तुतियाँ:










निष्कर्ष
बाहरी वस्तु का अंतर्ग्रहण एक सामान्य लेकिन संभावित रूप से गंभीर चिकित्सा आपात स्थिति है जिसके लिए शीघ्र पहचान और उचित प्रबंधन आवश्यक है। हालाँकि कई मामले—खासकर बच्चों में—स्वतः ही ठीक हो जाते हैं, लेकिन कई मामलों में छिद्र, रुकावट या संक्रमण जैसी जटिलताओं को रोकने के लिए एंडोस्कोपिक हस्तक्षेप की आवश्यकता होती है। नैदानिक मूल्यांकन और इमेजिंग के माध्यम से सटीक निदान, और समय पर एंडोस्कोपिक निष्कासन, सर्वोत्तम परिणामों के लिए अत्यंत महत्वपूर्ण है। संदिग्ध अंतर्ग्रहण के बाद क्या करें और क्या न करें, इस बारे में देखभाल करने वालों और आम जनता को शिक्षित करने से स्थिति को और बिगड़ने से रोकने में मदद मिल सकती है। एंडोस्कोपिक तकनीकों में प्रगति के साथ, अधिकांश बाहरी वस्तुओं को बिना सर्जरी के सुरक्षित और प्रभावी ढंग से हटाया जा सकता है।
लेखक के बारे में
डॉ. नवीन कुमार, एमबीबीएस, एमडी, डीएम (गैस्ट्रोएंटरोलॉजी, पीजीआईएमईआर चंडीगढ़) निदेशक, गैस्ट्रोएंटरोलॉजी विभाग श्री हरिहर अस्पताल और अनुसंधान केंद्र, गुटकर, जिला मंडी, हिमाचल प्रदेश।

डॉ. नवीन कुमार प्रतिष्ठित पीजीआईएमईआर, चंडीगढ़ से उन्नत प्रशिक्षण प्राप्त एक अत्यंत सम्मानित गैस्ट्रोएंटेरोलॉजिस्ट हैं। श्री हरिहर हॉस्पिटल एंड रिसर्च सेंटर में गैस्ट्रोएंटेरोलॉजी विभाग के निदेशक के रूप में, वे उन्नत एंडोस्कोपिक तकनीकों पर विशेष ध्यान देते हुए, पाचन संबंधी विकारों की एक विस्तृत श्रृंखला के निदान और प्रबंधन में असाधारण विशेषज्ञता रखते हैं।
वह हिमाचल प्रदेश में पहले और एकमात्र गैस्ट्रोएंटेरोलॉजिस्ट हैं, जो एंडोस्कोपिक अल्ट्रासाउंड (EUS) और अचलासिया कार्डिया के लिए पेरोरल एंडोस्कोपिक मायोटॉमी (POEM) जैसी अत्याधुनिक प्रक्रियाएं करते हैं, और पूरे क्षेत्र में गैस्ट्रोइंटेस्टाइनल देखभाल में नए मानक स्थापित कर रहे हैं।
रोगी-केंद्रित देखभाल और नैदानिक उत्कृष्टता के प्रति प्रतिबद्धता के लिए प्रसिद्ध, डॉ. नवीन अपने लेखन और अकादमिक योगदान के माध्यम से चिकित्सा शिक्षा और जन जागरूकता में भी सक्रिय भूमिका निभाते हैं।
वह इस लेख के संपादक हैं, तथा इसमें शामिल सभी एंडोस्कोपिक चित्रों का श्रेय उन्हें दिया गया है।
📧 ईमेल: contact@drnaveenkumargastro.com🐦 ट्विटर: @drnaveenm



टिप्पणियां